Friday, May 16, 2014

Daunov sindrom



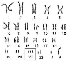
Даунов  синдром  - тризомија хромозома број 21.  Први пут синдром је описао Џон Лендгон Даун (John Langdon Down) 1866. године и по њему и добио назив. Скоро сто година је било потребно (1959.), за откриће узрока овог синдрома, а то је тризомија хромозома 21 (један хромозом број 21. је у вишку) (Слика 4-31).
Око 75% ембриона са Дауновим синдромом завршава спонтаним абортусом у првом триместру трудноће, а мањи проценат у каснијој трудноћи. То је најчешћа анеуплоидија компатибилна са животом, а учесталост међу живорођеним је 1/800.  Велики број новорођенчади са овим синдромом, умире током раног постнаталног живота. Пацијенти који преживе пренатални и постнатални период, живе са многобројним поремећајима и менталним оштећењем, због вишка генетичког материјала са хромозома број 21. Иако фенотипске карактеристике за овај синдром значајно варирају, обично постоји довољна доследност у понављању одређених особина. То омогућава искусном клиничару  да релативно лако успостави дијагнозу.
Фенотип особа са Дауновим синдромом подразумева пљоснато лице, ниско постављен корен носа, монголоидни израз и положај очију, додатни кожни набор у средњем региону очију (епикантални набор) и мале уши. Образи су изражени, а ивице уста често спуштене наниже. Врат је кратак и кожа на врату, нарочито на потиљачном делу, код новорођенчади је у вишку и наборана.  Већина особа са овим синдромом, има наборе на длановима и тзв. „мајмунску бразду“. Присутан је смањени тонус мишића (хипотонија), бебе су често поспане, а то су значајне дијагностичке карактеристике. Широк простор, често са дубоком пукотином (расцепом), између првог и другог прста су честа појава.





No comments:

Post a Comment